
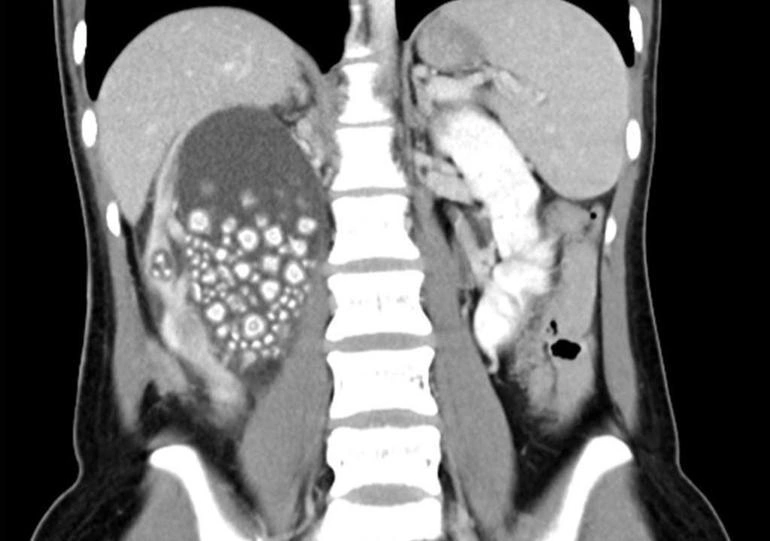
Bel ağrısından şikayətləndi: Qadının böyrəyindən 300 daş çıxarılıb


Abbas Əraqçi: Atəşkəsi qəbul etmirik, müharibə tamamilə bitməlidir
Araqçi: Yaponiya gəmiləri Hörmüzdən keçə bilər
Dua edərkən beynimizdə nələr olur?
Professor Lalə Əlizadə vəfat edib
Həyatınızı nizama salmağın 8 yolu
İran Dieqo Qarsiya bazasına raket atıb - YENİLƏNİB
Azərbaycan Beynəlxalq Nəqliyyat Forumuna sədrlik edəcək
Heç kim artıq zibilə atmayacaq - Gələcək bu qabığın içindədir
Moldova parlamenti ölkənin MDB-dən çıxmasının lehinə səs verdi
Günün qoroskopu: yeni qazanc qapıları açılacaq
İran: İxrac üçün artıq neft ehtiyatımız yoxdur
Dünyanın ən yaxşı kompakt avtomobili AÇIQLANDI
Üzü gözəlləşdirən bitkilər
“Yeraltı”da yeni yaraşıqlı!
İsrailin Livana hücumlarında ölənlərin sayı min nəfəri ötüb
Dünyanın ən uzun evi haradadır?
Qışdan çıxan bədəndə nə çatışmır? – Orqanizmin gizli siqnalları
Tramp: Rusiya ilə danışıqlar demək olar ki, hər gün davam edir
Niderlandın hərbi qulluqçuları İraqı tərk edir
Ərdoğan: “Biz daim sülhün tərəfdarıyıq!”
Əraqçi Starmeri hədələdi: Bu qərar britaniyalılar üçün risk yaradır
Müctəba Xamenei: “Türkiyəyə raket atmamışıq!”
Rafet azərbaycanlı xanımla evlənir
ŞOK QƏRAR: Tramp “atəşkəs YOXDUR” dedi - Müharibə daha da qızışır!
İsrail təyyarələri Dəməşqə zərbə endirdi
Pentaqon İrana qoşun yeritmək üçün hazırlıqlara başladı