
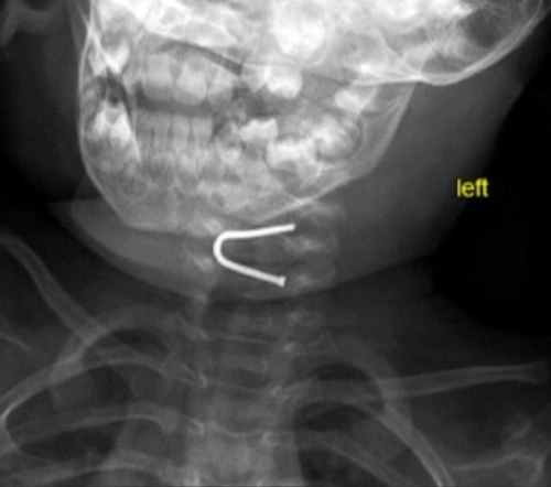
Körpənin mədəsindən mismar çıxarıldı


Rusiya baş nazirinin müavini: Ermənistan son qərarını verməlidir
Yeni müharibə İran xalqına da lazımdır - Asim Mollazadə
Eldar Əzizov: Bakı aqlomerasiyasının əhalisi 3 milyondan çoxdur
İran ordusu yeni hücum təhlükəsi barədə xəbərdarlıq etdi
Prezidentdən Sabir Rüstəmxanlı ilə bağlı SƏRƏNCAM
Estoniyada Rusiyaya doğru uçan dron vuruldu
TÜRK DÜNYASI BİLGİ ŞÖLƏNİ BAŞLAYIR
Azərbaycanda 1312 körpə ölümü qeydə alınıb
Ermənistanın yeni müttəfiqi: Rusiya əvəzlənir
Deputat: “Qarabağda dünyada analoqu olmayan şəhər modeli qurulur”
Almaniyada tarixi bina çökdü: 3 nəfər dağıntılar altında axtarılır
Laçında növbəti əmək yarmarkası keçiriləcək
İLK DƏFƏ: Rusiya müharibənin başa çatmaq üzrə olduğunu bəyan etdi
Prezidentin bacısı Qəzzaya gedən gəmidə saxlanıldı
Bakı ilə razılaşmışıq, burada da kommersiya sirri var - Kobaxidze
Tehranda partlayış: SEPAH zabiti öldü
Bakı-Tbilisi-Bakı reysinin bərpası üzrə hazırlıq işləri aparılır
Şuşa və Trabzon şəhərləri qardaşlaşdı
İrandan 12 kq narkotikin keçirilməsinin qarşısı alındı - FOTO
Konte "Fənərbağça"ya rəhbərlik edə bilər
İran ABŞ-yə qarşı yeddi tələb irəli sürdü